二、恶性间叶组织肿瘤《病理学》

二、恶性间叶组织肿瘤

恶性间叶组织肿统称为肉。肉少见,多发生于青少年。内眼观呈结节状或分叶状。由于其发生较快,除浸润生长外,也可挤压周围组织形成假包膜。肉体积常较大,质软,切面多呈灰红色,均质性,湿润,外观多呈鱼肉状,故称为肉。肉易发生出血、坏死、囊性变等继发性改变。镜下,肉细胞大多弥漫排列,不形成细胞巢,与间质分界不清,网状纤维染色可见肉细胞间存在网状纤维。肿间质的结缔组织少,但血管较丰富,故肉多先由血道转移。上述各点均与的特点有所不同(表7-3)。正确掌握与肉的特点,对临床诊断和治疗均有实际意义。

表7-3 与肉的区别

 
组织来源上皮组织间叶组织
发病率较常见,约为肉的9倍,多见于40岁以上成人较少见,大多见于青少年
大体特点质较硬、色灰白、较干燥质软、色灰红、湿润、鱼肉状
组织学特点多形成巢,实质与间质分界清楚,纤维组织每有增生细胞多弥漫分布,实质与间质分界不清,间质内血管丰富,纤维组织少
网状纤维细胞间多无网状纤维细胞间多有网状纤维
转移多经淋巴道转移多经血道转移

【常见的肉有以下几种:】

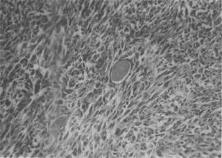
1.纤维肉(fibrosarcoma) 是肉中常见的一种,其发生部位与纤维相似,以四肢皮下组织为多见。分化好的纤维肉细胞多呈梭形,异型性小,与纤维有些相似;分化差的纤维肉则有明显的异型性(图7-17)。纤维肉分化好者生长慢,转移及复发较少见;分化差者生长快,易发生转移,切除后易复发。

纤维肉<a href=瘤"/>

图7-17 纤维肉

细胞呈梭形,体积较大,核大,核分裂像较多,具明显的异型性

2.恶性纤维组织细胞(malignant fibrous histiocytoma)这是近年来才受到重视的一种恶性肿,为老年人最常见的软组织肉。本好发于下肢,其次是上肢的深部组织和腹膜后等处,也可发生于内脏器官,但较为少见。肿细胞可有多种类型,电镜下,肿细胞类型的多样性理更为明显,主要为纤维母细胞和组织细胞,此外尚见原始间叶细胞、肌纤维母细胞、黄色细胞和多核巨细胞。异型性往往十分明显,核分裂像多见。绝大多数肿可见中等量到多量的慢性炎性细胞浸润。有的区域见纤维母细胞可呈束状交织排列和(或)排列成辐状,后者被认为有一定诊断价值;有的区域多形性明显,见多肿细胞混杂分布,无一定排列形式而且异型性十分突出,可见形态坚异具有丰富嗜伊红胞浆的巨细胞;有的区域粘液变性明显。关于此的组织发生,有研究认为是由原始间叶细胞向不同方向分化所成。此的恶性程度较高,切除后易复发和转移。

3.脂肪内(liposarcoma) 为肉中较常见的一种类型,多发生于大腿及腹膜后的软组织深部。来自原始间叶组织,极少从皮下脂肪层发生,与脂肪的分布相反。这说明脂肪肉极少是由脂肪恶变而来,而是一开始即具恶性特征。本多见于40岁以上成人,极少见于青少年。肉眼观,大多数肿呈结节状或分叶状,表面常有一层假包膜,可似一般的脂肪,亦可呈粘液性外观,或均匀一致呈鱼肉样。本细胞形态多种多样,可见分化差的星形、梭形、小圆形或呈明显异型性和多形性的脂肪母细胞,胞浆内可见多少和大小不等的脂滴空泡(图7-18),也可见分化成熟的脂肪细胞,并常以某种细胞成分为主。间质有明显粘液性和大量血管网形成者,称为粘液样型脂肪肉。当以分化差的小圆形脂肪母细胞为主(圆形细胞型脂肪肉)或以多形性脂肪母细胞为主时(多形性脂肪肉),恶性程度高,易有复发和转移。

脂肪肉<a href=瘤"/>

图7-18 脂肪肉

细胞分散,胞浆内含大小不等的脂肪空泡。细胞间有多量粘液性基质(图中呈灰色),并见巨细胞(插入图)

4.横纹肌肉(rhabdomyosarcoma)是较常见而且恶性程度很高的肉。肿由不同分化阶段的横纹肌母细胞组成。分化较高者红染的胞浆内可见纵纹和横纹,用磷钨酸苏木素染色更显而易见。根据细胞的分化程度、排列结构和大体特点可分为三种类型:

(1)胚胎性横纹肌肉:是最常见的一类,主要发生于10岁以下的婴幼儿和儿童。最好发的部位为头(眼眶、鼻腔、鼻咽部、中耳等处)、颈、泌尿生殖道及腹膜后。镜下见肿由未分化和低分化的小圆或卵圆细胞、梭形或带状的横纹肌母细胞组成。以葡萄状息肉样肿物突出于粘膜为特点的葡萄状肉(sarcoma botryoides)亦属此类型;

(2)腺泡状横纹肌肉:常见于10~25岁的青少年,发生于四肢者较为多见。镜下特点为低分化的圆形或卵圆形细胞形成不规则腺泡腔,在腺泡腔可偶见分化较高的横纹肌母细胞和多核巨细胞。

(3)多形性横纹肌肉:多见于成年人,好发于四肢的大肌肉,特别在大腿更为多见。镜下见细胞呈明显异型性,可出现多种形态怪异的横纹肌母细胞,胞浆丰富红染,可见纵纹和横纹,核分裂像甚多(图7-2)。

各型横纹肌肉均生长迅速,易早期发生血道转移,如不及时诊断治疗,预后极差,患者约90%以上在五年内死亡。

5.平滑肌肉(leimyosarcoma)较多见于子宫及胃肠,偶可见于腹膜后、肠系膜、大网膜及皮下软组织。患者多为中老年人。平滑肌肉细胞呈轻重不等的异型性,核分裂像的多少对判断其恶性程度有重要意义。恶性程度高者,手术后易复发,可经血道转移至肺、肝及其他器官。

6.血管肉(hemangiosarcoma) 血管肉起源于血管内皮细胞,可发生于各器官和软组织,发生于软组织者多见于皮肤,尤以头面部为多见。肿多隆起于皮表,呈丘疹或结节状,暗红或灰白色。肿内部易有坏死出血。有扩张的血管时,切面可呈海绵状。镜下,在分化较好者,组织内血管腔形成明显,大小不一,形状不规则,被覆血管腔的内皮细胞大多有不同程度的异型性,可见核分裂像。分化差的血管肉,细胞常呈片团状增生,形成不明显、不典型血管腔或仅呈裂隙状。细胞异型性明显,核分裂像多见。血管肉的恶性程度一般较高,常在淋巴结及肝、肺、骨等处形成转移。

7.骨肉(osteosarcoma)和软骨肉(chondrosarcoma)骨肉起源于骨母细胞,软骨肉起源于软骨细胞, 均为常见的骨恶性肿(详见第十七章)。

上一页:一、良性间叶组织肿瘤
当前页:二、恶性间叶组织肿瘤
下一页:第十节 神经外胚叶源性肿瘤

返回目录